There are many diseases that affect the brain, including conditions that affect the blood supply (stroke), inflammation (meningitis and encephalitis), trauma, or malformation. There are many of these diseases that can be treated (or at least managed successfully) to give a patient a good quality of life, so it is very important that conditions are investigated and an accurate diagnosis is made so that the best treatment can be given.



What is Meningoencephalitis of unknown origin?
A body’s central nervous system (CNS) is its control centre. Among its components are the brain, spinal cord, and meninges, which cover them. Meningoencephalitis of unknown origin (MUO) refers to inflammation of the brain and the covering of the brain called the meninges (meningoencephalitis). It has also been known to affect the spinal cord (myelitis). The disease when it affects the brain, meninges, and spinal cord is referred to as meningoencephalomyelitis. The condition is normally immune-mediated or autoimmune in dogs; an immune disease is when your immune system attacks certain parts of your body. The immune system protects the body against infection from bacteria, viruses, and other harmful organisms. A patient with an autoimmune disease has their immune system attack and destroy their own organs and tissues. The UK has relatively few brain infections due in part to vaccinations.
Animals can suffer from a variety of immune-mediated conditions. As a rule, the immune system reacts to something it finds in the environment (in something it touches, eats, breathes in; or something it gets a minor infection from, such as bacteria, viruses, and parasites) that matches a protein in the body, causing an inflammatory response.
What causes Meningoencephalitis of unknown origin?
There is no way to determine why an animal develops an immune-mediated brain disease. This disease most commonly affects small dogs (terrier breeds), usually females who are young to middle-aged. Genetics is therefore suspected as a risk factor. Nevertheless, animals of any age, sex, or breed can be affected. This condition is probably caused by a complex interaction between genetics and the animal’s environment. Rare non-infectious causes may include precancerous changes (inflammation that turns into cancer) and paracancerous diseases (cancer elsewhere in the body that triggers a brain reaction).
On the basis of the distribution of inflammation and the type of inflammatory cells involved, specific types of inflammatory brain diseases have been described from tissue samples – these include ‘granulomatous meningoencephalitis’ (GME), ‘necrotising meningoencephalitis’ (NME), ‘eosinophilic encephalitis’ (EE) and ‘necrotizing leukoencephalitis’ (NLE), and a definitive diagnosis can only be made with brain tissue under a microscope, via a biopsy. Biopsies of the brain are invasive and potentially dangerous procedures, so we don’t typically recommend them in dogs, resulting in the normal descriptive word of MUO as a diagnosis for this condition.
What are the signs of Meningoencephalitis of unknown origin?
MUO causes a variety of signs, depending on what part of the brain is inflamed. Fits (seizures) are common in some animals. A number of signs may be displayed by animals, such as blindness, disorientation and wobbliness, loss of balance, weakness, changes in personality and behaviour, difficulty swallowing, weakness of the jaw, among others. Several of these signs may be present in some animals. Signs can begin abruptly and be severe, or progress slowly and insidiously.
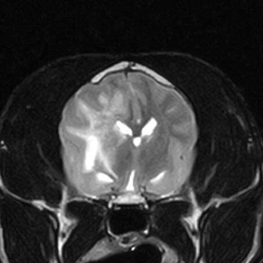
How will you know that a dog has Meningoencephalitis of unknown origin?
A patient’s signs cannot be used alone to diagnose MUO. Similar signs can also be caused by other neurological conditions such as cancer of the brain or bleeding into the brain. Even the most severe form of meningitis or encephalitis may not be detected by blood tests. You will always need to conduct additional tests and may recommend special imaging studies such as MRI scans in order to diagnose the problem. When done safely, cerebrospinal fluid analysis (collection of fluid around the brain) is one of the most useful tests. By doing so, it can be determined whether inflammation is present, what type of inflammation it is, and, perhaps more importantly, whether or not there is an infection present. It is rare for cerebrospinal fluid to be normal if an animal has MUO.
We do not normally recommend doing brain biopsies on dogs because they are invasive and potentially risky.
How can Meningoencephalitis of unknown origin be treated?
The primary cause of MUO determines the treatment. Antibiotics can be used to treat bacterial infections, and other drugs may be available to treat fungal and viral infections. Non-infectious diseases are treated with drugs to counteract over-excitation of the immune system. Generally, high doses of steroids (prednisolone) are used in combination with other powerful drugs like azathioprine, cytarabine, mycophenolate, cyclosporin, and cyclophosphamide. After high doses of medication have been used to control inflammation, drug doses are gradually reduced. The long-term aim is to take the animal off any drugs but usually a low dose of medication is needed to control the signs. Since steroids have many side effects when used long term, you will need to try to minimise the dosage or combine it with other treatments. Using stronger drugs may increase a patient’s risk of infection due to their ability to affect their bone marrow.
The mainstay of treating MUO is suppressing the immune system with drugs, especially corticosteroids like prednisolone. In most cases, high doses of steroids administered by injection or orally result in significant improvements or resolutions of clinical signs. A slow reduction in dosage is then carried out over a period of several months. Unfortunately, steroids often cause side effects. Side effects of steroids include increased thirst and hunger (resulting in increased urination and weight gain), lethargy, panting, and an increased risk of infections (respiratory and urinary).
Additional medications may also be needed, either to suppress the immune system or to reduce the steroid dose without fear of relapse. Despite the fact that these second-line drugs are technically chemotherapy drugs, they are generally used at relatively low levels and side effects are rare. The injection of cytosine araboniside (cytarabine) is common for hospitalised patients. It is administered as a one-time dose by continuous infusion over 12 hours. The oral administration of drugs such as cyclosporine, azathioprine, leflunomide, and mycophenolate is also possible. Treatments should be tailored to each animal’s specific needs.
What is the prognosis?
MUO’s prognosis is highly variable and often difficult to predict at the time of diagnosis. It is generally believed that a good initial response to treatment indicates a good prognosis. Several months or years can pass before an animal enters remission from the disease and maintains a normal or very good quality of life.
At the start of treatment, it’s difficult to know which scenario will apply to an individual patient. Sometimes, treatment can be withdrawn with time, but more often, it’s necessary to continue treatment at low doses for a long time, possibly for life.
During treatment, regular visits to the practice are likely required of the owner. You should recommend blood tests every few months. The frequency of this will depend on the individual’s response to treatment. It may also be necessary to repeat MRIs and/or CSFs to monitor the disease and fine-tune the treatment.