Fractures are common in dogs and cats, typically from a traumatic episode such as a road traffic accident or a fall. However, dogs also suffer from stress fractures which can occur during normal activity.
Fractures can be treated in various ways but most long-bone fractures in dogs and cats are best treated with surgery. Internal fixation is often the preferred method and may involve the use of pins and wires, or plates and screws.



At Movement Referrals, we have a range of implant systems which gives us a broad range of options to fix the full range of possible fractures in dogs and cats. Some specific examples include the Feline Lateral Ilial Plate (FLIP; Fusion Implants) and the Lateral Epicondylar Anatomical Pate (LEAP, Fusion Implants).


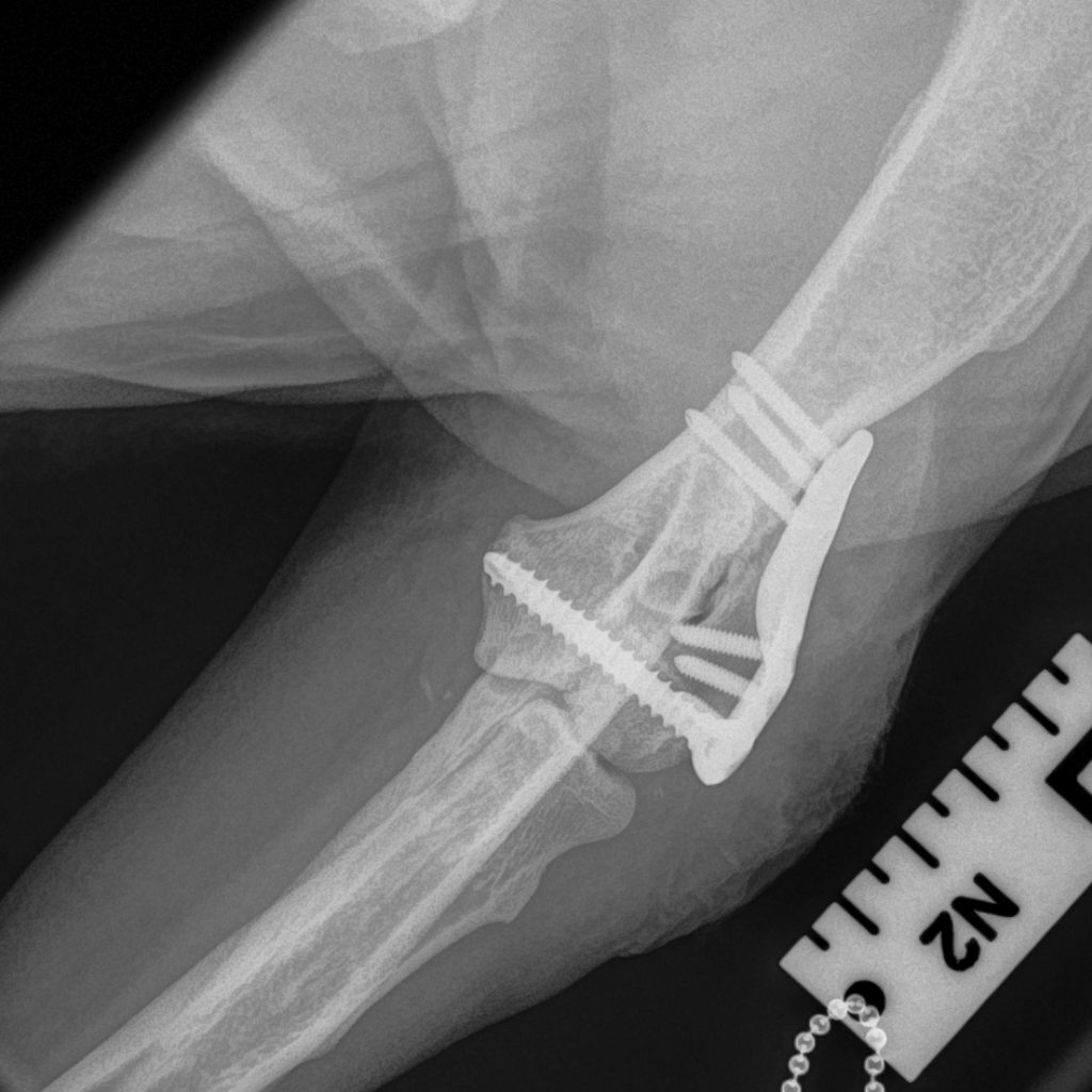
The Lateral Epicondylar Anatomical Plate was developed by Movement’s very own Ben Walton, in collaboration with engineers at Fusion Implants. This locking plate system is designed for the complex anatomy of the lateral epicondyle in breeds of dog such as Springer Spaniels and French Bulldogs.
The plate was designed from CT images from previous patients so that the pre-contouring is a good fit and the screw holes and direction are in the ideal position.
The plate is used in combination with a transcondylar implant such a cortical screw or HIRS implant.
The Feline Lateral Ilial Plate (FLIP) was also designed by Ben Walton in collaboration with Fusion Implants.
Fractures of the ilium are very common in cats following road traffic accidents and, as part of the load-bearing axis, the ilium is an important bone for transfer of load from the spine to the pelvic limb.
The ilium is quite thin and so the multiple locking screws of the FLIP provide the surgeon with flexibility and the advantage of a pre-contoured implant.


Publications from Movement Vets surgeons
Tomlinson, A. W., E. J. Comerford, R. S. Birch, J. F. Innes, and M. B. Walton. 2015. ‘Mechanical performance in axial compression of a titanium polyaxial locking plate system in a fracture gap model’, Veterinary and Comparative Orthopaedics and Traumatology, 28: 88-94.
Walton, M. B., E. Crystal, S. Morrison, J. Onyett, J. McClement, R. Allan, M. Straw, and J. F. Innes. 2020. ‘A humeral intracondylar repair system for the management of humeral intracondylar fissure and humeral condylar fracture’, Journal of Small Animal Practice, 61: 757-65.