a.k.a Incomplete Ossification of the Humeral Condyle
Humeral Intracondylar Fissure is a weakness in the humerus where it meets the elbow joint. It is a condition seen most commonly in Spaniel breeds and French Bulldogs, though other breeds are occasionally affected. It can cause pain and limping, and weaken the bone making it susceptible to breaking. It is generally treated by placing a screw across the fissure, to stabilise the bone and help prevent breaks. This surgery needs to be planned and performed carefully, as there is a narrow margin for error and some clinical studies have reported high complication rates. The surgeons at Movement Referrals have vast experience of managing this condition, have designed and tested specific implants for its treatment, and regularly train other surgeons from around the world.
Key-Words
Humerus – the bone between the shoulder and the elbow.
Condyle – the wide part at the lower end of the humerus, where it meets the elbow.
Fissure – a thin line on an X-ray or CT scan that represents a separation of the bone
Fracture – a break in the bone
Ossification – the formation of bone
Lameness – limping
Causes
We have known for decades that Spaniels are more likely to suffer humeral condylar fractures (HCF), but it is only as CT scanning became more commonplace that we have improved our understanding of the factors at work. In the 1990s, a surgeon in the USA identified fissures in the humeral condyle of Spaniels and suggested that they might be caused by a failure of the bone to form properly during development, and named the condition incomplete ossification of the humeral condyle (IOHC). This name was widely adopted and is still sometimes used today.
There are, however, documented cases of fissures forming in adult dogs, which would be impossible if they were all a developmental problem. Now we believe that in most adult dogs, the fissures are an incomplete fracture, possibly a stress-fracture.
There are two classifications of stress fracture – fatigue fractures occur when biologically normal bone fails because of abnormally high repetitive loads, and insufficiency fractures occur when biologically abnormal bone can’t heal itself quickly enough and fails under what are relatively normal loads. We don’t know for sure which type of stress-fracture HIFs are, but because most effected dogs don’t suffer stress fractures anywhere else, it is most likely that they are fatigue fractures.
We don’t know why the forces acting on the humeral condyle of effected dogs are abnormal. It might be because the bones of the elbow don’t fit together well (we call this “incongruity”), or it might be something in the way that effected dogs move.
To complicate matters further, in some young dogs (less than 6-7 months), the problem might still be developmental, and we think that in some of those, the fissures might eventually close by themselves. This is very unlikely to happen in adult dogs.
Clinical Signs
- Limping. Some dogs with HIF will start to limp on the effected front leg (click here to see how to spot lameness in dogs). Lameness is usually made worse by exercise and can be very variable. We recommend that you seek veterinary advice if you have a spaniel or a French bulldog with a forelimb lameness that lasts more than a day.
- Fracture. Some dogs with HIF will suffer fractures of the humeral condyle. Click here to find out more about these fractures. Often, there will be a period of lameness before the bone breaks, which is why it is so important to act quickly if you notice any limping. Sometimes though, there is no prior warning, and the bone breaks suddenly. This usually occurs during normal activity, such as running. A common cause of fractures in puppies is wriggling or jumping out of their owners’ arms – so be very careful when carrying your puppies!
- None! HIFs are sometimes found in dogs without any history of lameness or pain.
Investigation
CT is the most common means of diagnosing HIF. Radiography (X-rays) will miss some of them, but if you can see one on a radiograph then further tests might not be required. Other possible causes of lameness, eg elbow dysplasia, might also need to be considered.



Treatment
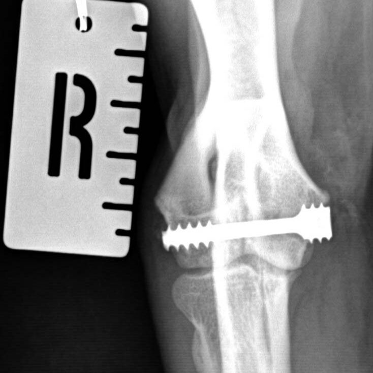
Most Specialists are likely to advise placing a screw across the humeral condyle, especially if your dog is limping and/ or there is elbow pain. The purposes of the screw are to prevent movement and instability and therefore improve the lameness, and to reduce the risk of the bone breaking completely.
Two of Movement’s Specialists, Ben Walton and John Innes, designed and clinically tested the humeral intracondylar repair system (HIRS) for the treatment of HIF in Spaniels and, the clinical results were published in 2020.
Placing the screw accurately is very important to avoid damaging the joint. We will often use custom, patient-specific, 3D-printed surgical guides like THESE, or a careful planning method like THIS.
What if my dog isn’t limping? Treatment in non-lame, non-painful cases is a more difficult decision. Based on the best-available information for Spaniels in the UK, approximately 20% of these cases will progress to fracture. A careful and evidence-based discussion with an experienced Specialist will help you reach the best decision for you and your dog.
Outcomes and Risks
The vast majority of surgically-treated dogs with HIF achieve a return to very good levels of function and most owners and vets are happy with the outcomes achieved. All dogs treated with HIRS demonstrated at least partial-healing in one study.
Some complications occur commonly. For example, approximately one in five dogs will develop a fluid-filled swelling on the elbow. These can, and should, usually be ignored and will resolve. Reported infection rates range from approximately 5% to 25%. Our experience at Movement Referrals is currently at the low end of this range. In the long-term, there is a risk of the screws, and even the bone, breaking completely, but the true rate of this occurrence is not known.
Publications from Movement Vets on Humeral Intracondylar Fissure
Walton MB, Crystal E, Morrison S, Onyett J, McClement J, Allan R, Straw M, Innes JF.
A humeral intracondylar repair system for the management of humeral intracondylar fissure and humeral condylar fracture. J Small Anim Pract. 2020 Dec;61(12):757-765. doi: 10.1111/jsap.13206. Epub 2020 Oct 15. PMID: 33058190.