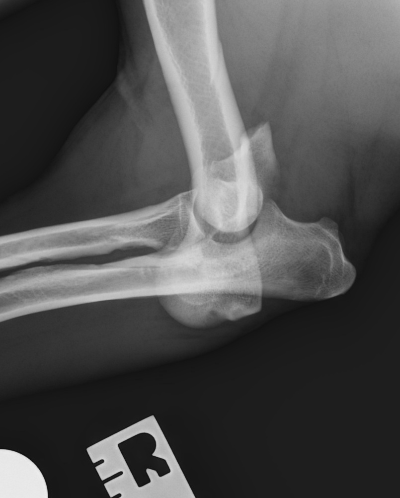
Humeral Condylar Fractures
Humeral condylar fractures are a common sort of broken bone that effects the elbow in the front leg of dogs and cats. They most commonly occur in puppies between 12 and 16 weeks of age. Sometimes they occur in younger animals, and in adults they are most commonly seen in Spaniels as a consequence of humeral intracondylar fissure (HIF). They are articular fractures, which means that they involve the joint surface and should be treated promptly with surgical fixation.
Some breeds are pre-disposed, with English Springer Spaniels and French Bulldogs being approximately six times as likely to suffer these fractures compared to the general dog population.
Key-Words
Humerus – the bone between the shoulder and the elbow.
Condyle – the wide part at the lower end of the humerus, where it meets the elbow.
Fissure – a thin line on an X-ray or CT scan that represents a separation of the bone
Fracture – a break in the bone
Causes
These fractures occur due to a weakness in the middle of the humeral condyle. This weakness is normal and temporary in puppies, as the two sides of the condyle of the humerus turn to bone separately. The bone fuses in the middle at around 4 months of age and there is a weakness, or “stress-riser”, just before it does so.
In adult dogs, these fractures usually occur secondary to HIF, which you can read about HERE <hyperlink again>.
Fractures usually occur during normal activity like running, and sometimes when jumping down from something. A common clinical history in puppies is jumping, or wriggling out of their owner’s arms when being carried, so be super-careful when you are doing this.
Clinical Signs
Effected dogs suddenly become very lame on the leg, and might stop using it altogether. However, the lameness can improve quite quickly in some dogs, and these fractures occasionally go undiagnosed for some days or even weeks. This can make them very difficult to repair, as bone heals quickly in puppies. But the elbow joint is left in a very abnormal shape if they heal in the wrong place, and long-term function can be poor if they are not treated surgically.
Investigation
Radiographs (x-rays) are usually enough to make a diagnosis and plan surgery. However, especially in adult dogs, a CT scan is a good idea to check the other elbow for signs of HIF.




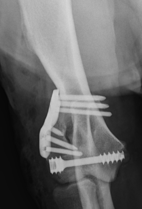
Treatment
These fractures need to be re-aligned as accurately as possible, within a few days of occurring, to try and optimise elbow function in the long term. They are generally stabilised using a screw across the condyle, and a plate and screws running up the side of the bone. Sometimes, the plate is not used and more screws or a bone pin is used instead. Movement Specialist, Ben Walton, helped to design and develop a system of anatomic bone plates for humeral condylar fractures.
Outcomes and Risks
The success rate for managing condylar fractures is high, and some factors have a bearing on the outcome.
- How many pieces the bone is broken into. Usually, just one side of the humerus fractures off, and these fractures are more straightforward to stabilise and generally have better outcomes. Approximately 35% of condylar fractures are Y-fractures, where both sides of the humeral condyle break apart from each other and from the main shaft of the bone. These are much more difficult to stabilise.
- How soon the fracture is treated – if they are left too long, it becomes more difficult to reconstruct the elbow joint accurately.
- What implants are used. The best-available published reports suggest that complication rates are lower when plates are incorporated into the repair.
- The age of the patient. Fractures in puppies heal more quickly and more completely than those in adults. Though the bone is softer and must be handled with care.
- Surgeon experience.
Presentations from Movement Vets on Humeral Condylar Fractures
Jones RL, Tomlinson AW, Barnes DM, Hood RS, Ogden DM, Owen MA, Onyett JR, Walton MB
Clinical assessment of a lateral epicondylar anatomical plate for the stabilisation of humeral condylar fractures in dogs. BVOA Autumn Meeting, 2021, Nottingham.